송파 잠실 무절개 임플란트 저렴한 곳 업체 추천 | 뼈이식 임플란트 비용 가격 잘하는 곳 | 디지털 네비게이션 시술 후기 | 수면 임플란트 치과 야간진료 | 무료 상담 이벤트 가격비교

송파 잠실 무절개 임플란트 저렴한 곳 업체 추천 | 뼈이식 임플란트 비용 가격 잘하는 곳 | 디지털 네비게이션 시술 후기 | 수면 임플란트 치과 야간진료 | 무료 상담 이벤트 가격비교

송파 잠실 무절개 임플란트 치과 추천

임플란트 잘하는 치과 찾기, 정말 어렵지 않으셨나요? 저도 치과를 고르느라 몇 주를 고민했던 기억이 있어요. 특히 저는 수술에 대한 두려움 때문에 ‘무절개 임플란트’를 알아봤는데, 생각보다 정보가 많지 않더라고요. 전문가가 아닌, 먼저 경험해 본 사람으로서 제가 직접 찾아보고 경험한 솔직한 후기를 공유해 드릴게요.

🔍 송파구에서 무절개 임플란트 해결사를 찾고 계신가요?

지금 바로 아래에서 전문가들이 추천하는 치과 정보를 확인하세요!

한눈에 보는 송파구 치과 비교표

업체명 위치 특징 영업시간 가격대
연세하랑치과의원 잠실새내역 7번출구 무절개 임플란트 전문, 연세대 출신 전문의 월~목 10:00-21:00 야간진료 별도 문의
서울0.1치과의원 한성백제역/송파나루역 도보 5분 디지털 임플란트, 화/목 야간진료, 일요일 진료 화/목 09:30-21:00 야간진료 별도 문의
서울플랜트치과의원 응암역 4번 출구 이마트 옆 구강악안면외과 전문의, 다양한 재생치료 화/목 10:00-21:00 야간진료 임플란트 80만원~

무절개 임플란트 선택 시 고려사항

  • 의료진의 경험과 전문성: 임플란트 시술 경험이 풍부한 전문의가 있는지 확인하는 것이 중요해요.
  • 디지털 장비 활용: 정확한 진단과 시술을 위해 3D CT, 구강 스캐너 같은 장비를 갖추었는지 확인하세요.
  • 사후 관리 시스템: 임플란트 시술 후에도 정기적인 검진과 관리가 체계적으로 이루어지는지 알아보세요.
  • 접근성과 진료 시간: 병원 위치가 방문하기 편리한지, 야간이나 주말 진료가 가능한지 따져보는 것도 필요합니다.

연세하랑치과의원

연세하랑치과의원 대표 이미지
서울 송파구 올림픽로 145 리센츠상가 4층
02-420-5771
월~목 10:00~21:00 (야간진료), 토 10:00~16:00
리센츠 아파트/상가 전용 주차장 이용 가능

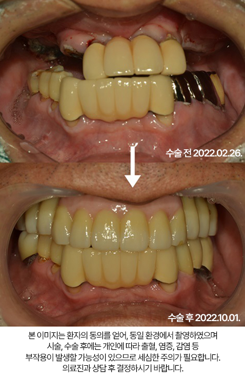
대표원장님이 18년간 1만 5천 케이스 이상 무절개 임플란트 시술을 해오셨다고 해요. 특히 통증이나 부종, 출혈을 최소화하고 빠른 일상 복귀를 도와준다고 해서 좋았어요. 고혈압이나 당뇨 환자분들도 부담 없이 시술받을 수 있다는 점이 마음에 들었고요.

#잠실치아교정#무절개임플란트#임플란트#사랑니발치#잠실치과

시술 후 통증이 거의 없었고, 회복이 정말 빨랐다는 후기가 많아서 안심하고 선택했어요.

2년 전에 친구 추천으로 사랑니 발치했는데, 아픈게 없어서 너무 좋았던 기억으로 왕복 2시간 참고 남편 데리고 갔어요!! 3시간 지난 지금도 아픈거 하나없이 잘 버텨주고 있네요! 원장님이 하나부터 열까지 주의사항도 알려주셔서 더 좋았습니다. 사랑니 발치엔 하랑이 갑

4.9 / 5

서울0.1치과의원

서울0.1치과의원 대표 이미지
서울 송파구 백제고분로 488
0507-1348-0173
화/목 09:30~21:00 (야간진료), 일 09:30~14:00 (일요일 진료)
1층 치과 전용 주차장 이용 가능

이곳은 특히 화요일, 목요일에 야간 진료를 하고 일요일에도 문을 연다고 해서 바쁜 직장인들에게 좋을 것 같아요. 발치 즉시 임플란트 식립을 지향하는 곳이라 부담을 최소화하는 데 집중하는 것 같더라고요. 보호자용 태블릿으로 수술 과정을 볼 수 있다는 것도 신뢰가 갔어요.

#송파치과#잠실치과#무절개임플란트#일요일치과#방이동임플란트

원장님부터 직원분들까지 모두 친절해서 편하게 진료받았다는 후기가 많아요.

임플란트했는데 하나도 안아프네요 친정하고 꼼꼼하게 해주십니다

4.8 / 5

서울플랜트치과의원

서울플랜트치과의원 대표 이미지
서울 은평구 은평로 121 응암CO메디칼 9층
0507-1478-8335
화/목 10:00~21:00 (야간진료), 토 10:00~14:00
주차 가능

여기는 구강악안면외과 전문의가 진료하는 곳이라 신뢰가 갔어요. 무절개 임플란트뿐만 아니라 다양한 보존 치료와 재생 치료도 받을 수 있다고 해요. 임플란트 가격 정보도 상세하게 나와 있어서 비교하기 편했어요.

#임플란트#iGBR급속골이식#플라즈마신경치료#무절개임플란트#민생회복소비쿠폰

치료 과정이 매우 체계적이고, 의사 선생님과 간호사분들이 친절해서 좋았다는 후기가 많았습니다.

치과 의사분 조무사분들 친절하십니다.

4.7 / 5

아직 무절개 임플란트 고민이 해결되지 않으셨나요?

지금 바로 송파구 최고의 치과 업체에 문의하세요!

무절개 임플란트, 현명하게 선택하는 팁

임플란트 시술은 한 번 결정하면 되돌리기 어려운 만큼 신중하게 선택해야 해요. 제가 여러 곳을 비교하며 느낀 점은, 단순히 가격만 볼 것이 아니라 의료진의 경험, 첨단 장비 보유 여부, 그리고 시술 후 사후 관리까지 꼼꼼히 확인해야 한다는 것이었어요. 이 정보가 여러분의 치과 선택에 조금이나마 도움이 되셨기를 바라요. 이제 여러분의 선택만 남았습니다!

송파구 무절개 임플란트 | 잠실 치과 | 방이동 치과 | 잠실새내역 임플란트 | 서울 임플란트 잘하는 곳 | 무절개 뼈이식 | 잇몸 절개 없는 임플란트 | 수면 마취 임플란트 | 디지털 임플란트 | 네비게이션 임플란트 | 오스템 임플란트 | 덴티움 임플란트 | 스트라우만 임플란트 | 임플란트 가격비교 | 임플란트 비용 저렴한 곳 | 잠실 치아교정 | 서울 사랑니 발치 | 송파구 치과 추천 | 송파 임플란트 전문의 | 은평구 임플란트 | 응암동 치과 | 은평로 치과 | 응암역 치과 | 야간진료 치과 | 일요일 치과 | 치아 보존 치료 | 턱관절 치료 | 임플란트 재수술 | 임플란트 염증치료 | 치과 무료 상담

댓글 남기기